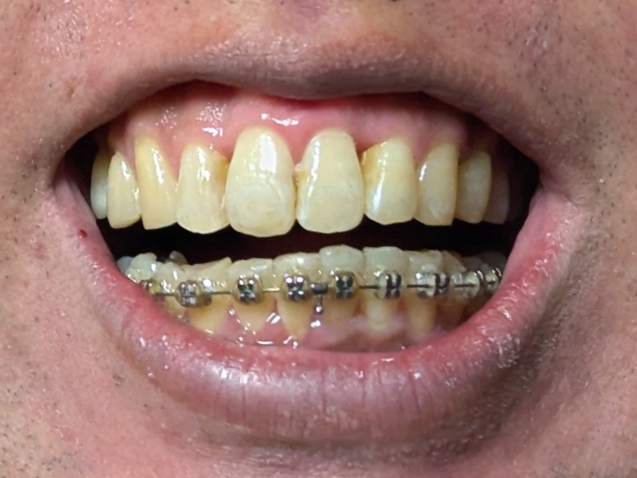
HOME > 日常生活 > 日常生活 上の歯の矯正装置が外れました 2026年3月3日 2026年3月5日 Post Share Hatena Pinterest LINE note とうとう、上の歯の矯正器具装置が外れました。 矯正器具のブラケットを付けて、約2年になります。 口の中が広くなった感じがします 上のブラケットがとれて、スッキリしました。 前歯がきちんと下に向いた感じです。 歯並び、噛み合わせもとても良いです。 芸能人のような前歯になりました。 Post Share Hatena Pinterest LINE note この記事を書いた人 最新記事 安藤康之 ディスプレイ3枚の自作パソコンとディスプレイ2枚の自作パソコンの2台でウェブサイト作ってます。ただのオタクです。趣味は、ドライブ、スノーボード、麻雀です。自宅にゴールデンハムスターがいます。ホームページは見られてなんぼ。ゴリゴリSEOしまっせ。コンバージョンしてなんぼの世界。デザインは二の次、本当に必要なのは正しく見られて集客ができているかどうかです。 2026/04/21下の歯のブラケットが取れました! 2026/03/05リテーナーを付けるようになりました! 2026/03/03上の歯の矯正装置が外れました 安藤康之の記事をもっと見る -日常生活