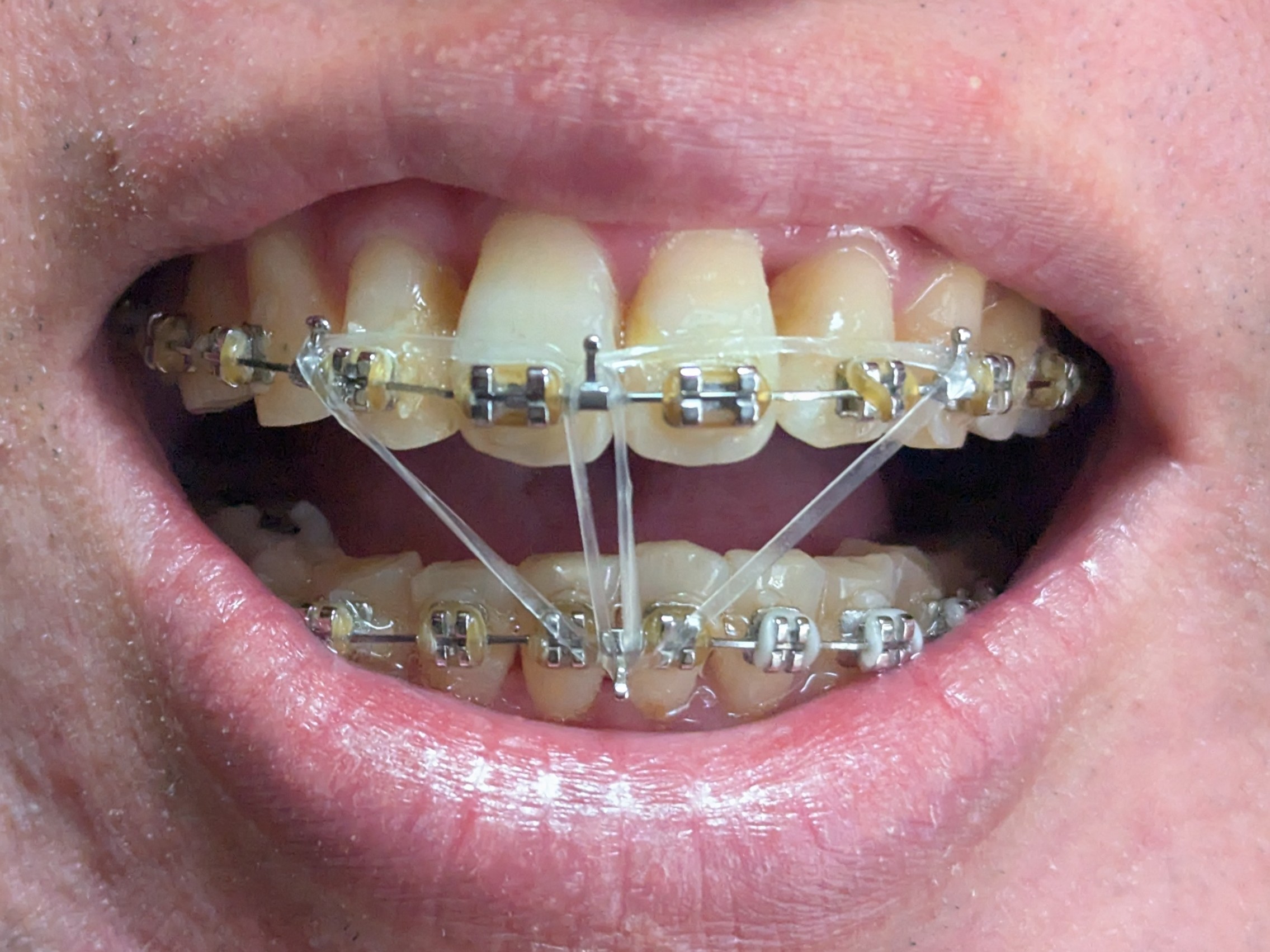
HOME > 日常生活 > 日常生活 引き続き継続してゴムをかけるようになりました! 2026年2月19日 2026年2月21日 Post Share Hatena Pinterest LINE note 前回の治療から2週間が経過しました。 順調に前歯も動いているらしく、引き続き継続となりました。 前歯が引っ張られている感じがする 三角に力が加わっているため、下の歯と前歯が前に引っ張られている感じがします。 かみ合わせをさらに良くするために調整しているようです。 当然ですが、食事もゴムをはずさないとできません。 4月で丸2年となります。 どのような変化となるか楽しみです。 Post Share Hatena Pinterest LINE note この記事を書いた人 最新記事 安藤康之 ディスプレイ3枚の自作パソコンとディスプレイ2枚の自作パソコンの2台でウェブサイト作ってます。ただのオタクです。趣味は、ドライブ、スノーボード、麻雀です。自宅にゴールデンハムスターがいます。ホームページは見られてなんぼ。ゴリゴリSEOしまっせ。コンバージョンしてなんぼの世界。デザインは二の次、本当に必要なのは正しく見られて集客ができているかどうかです。 2026/04/21下の歯のブラケットが取れました! 2026/03/05リテーナーを付けるようになりました! 2026/03/03上の歯の矯正装置が外れました 安藤康之の記事をもっと見る -日常生活